P

A    B    C    D    E    F    G    H    I    K    N    L    M    O    P    R    S    T    V    Z   

Protozoji ir dzīvniekiem līdzīgi vienšūnas organismi, kuri dzīvo ūdensvidē un pārtiek no baktērijām, sīkām šūnām, organiskajām atliekām vai ir parazīti. Protozojus iedala vicaiņos, skropstaiņos, sakņkājos un sporaiņos. Sporaiņi galvenokārt ir iekššūnu parazīti, vispazīstamākais ir malāriju izraisošais malārijas plazmodijs.

Amēba

5. attēls. Amēba (sakņkājis)

Infuzorija

6. attēls. Infuzorija (skropstainis)

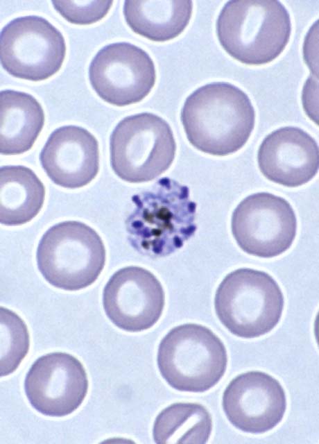
Malārijas plazmodijs

7. attēls. Malārijas plazmodijs (sporainis) starp cilvēka eritrocītiem.

Populācija ir vienas sugas īpatņu kopa, kas ilgstoši apdzīvo kādu noteiktu ekosistēmu.

Populāciju raksturo tās lielums, struktūra un vides ekoloģiskā kapacitāte.

Populācijas lielums ir īpatņu skaits visā tās apdzīvotajā teritorijā. Populācijas lieluma izmaiņas ietekmē dzimstība, mirstība un migrācija.

Populāciju raksturo vecumstruktūra dzimumstruktūra, teritoriālā struktūra, u. c.

Populācijas lielums ir īpatņu skaits visā tās apdzīvotajā teritorijā. Populācijas lieluma izmaiņas ietekmē dzimstība, mirstība un migrācija.

Plēsonība ir, ja viens dzīvnieks nogalina otru dzīvnieku un izmanto to par organisko vielu avotu.

Parazītisms ir, ja neliels dzīvnieks lielāku dzīvnieku izmanto par organisko vielu avotu.